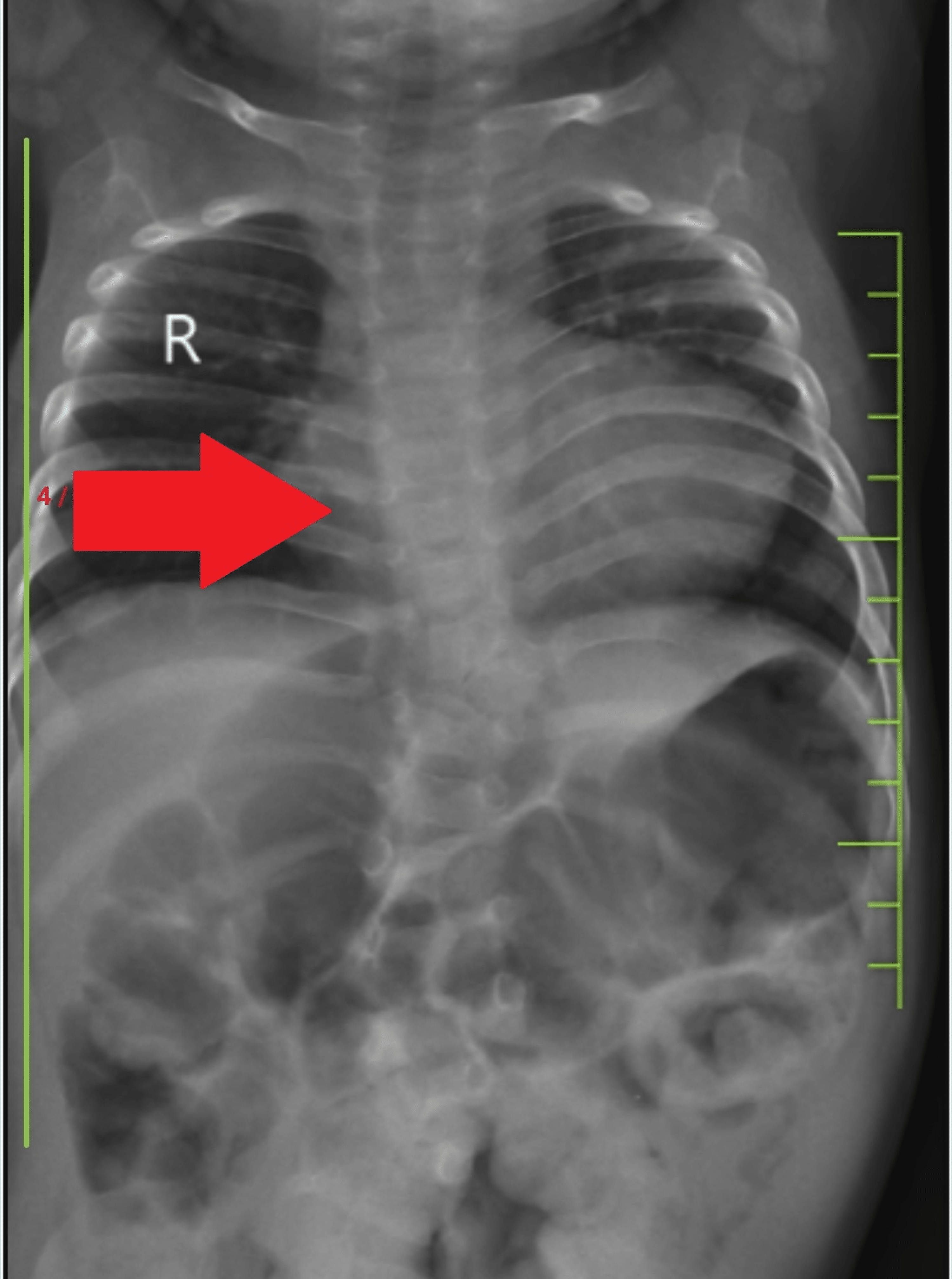
Butterfly Chest X Ray . Notice the displacement of the. the “reversed pulmonary edema pattern” represents virtually a photographic negative of the “bat’s wing” or “butterfly” pattern and is characterized by homogeneous consolidations in the lung periphery running more or less parallel to the lateral chest wall. bat wing opacities, also known as butterfly opacities, refer to a pattern of bilateral perihilar lung shadowing.
from www.pinterest.com
Notice the displacement of the. bat wing opacities, also known as butterfly opacities, refer to a pattern of bilateral perihilar lung shadowing. the “reversed pulmonary edema pattern” represents virtually a photographic negative of the “bat’s wing” or “butterfly” pattern and is characterized by homogeneous consolidations in the lung periphery running more or less parallel to the lateral chest wall.
Bat's wing or butterfly pulmonary opacities refer to a pattern of
Butterfly Chest X Ray the “reversed pulmonary edema pattern” represents virtually a photographic negative of the “bat’s wing” or “butterfly” pattern and is characterized by homogeneous consolidations in the lung periphery running more or less parallel to the lateral chest wall. the “reversed pulmonary edema pattern” represents virtually a photographic negative of the “bat’s wing” or “butterfly” pattern and is characterized by homogeneous consolidations in the lung periphery running more or less parallel to the lateral chest wall. Notice the displacement of the. bat wing opacities, also known as butterfly opacities, refer to a pattern of bilateral perihilar lung shadowing.
From www.ourmindfullife.com
79 Stunning Chest Tattoos For Women Our Mindful Life Butterfly Chest X Ray bat wing opacities, also known as butterfly opacities, refer to a pattern of bilateral perihilar lung shadowing. Notice the displacement of the. the “reversed pulmonary edema pattern” represents virtually a photographic negative of the “bat’s wing” or “butterfly” pattern and is characterized by homogeneous consolidations in the lung periphery running more or less parallel to the lateral chest. Butterfly Chest X Ray.
From www.skimble.com
Chest Butterfly Exercise Howto Workout Trainer by Skimble Butterfly Chest X Ray the “reversed pulmonary edema pattern” represents virtually a photographic negative of the “bat’s wing” or “butterfly” pattern and is characterized by homogeneous consolidations in the lung periphery running more or less parallel to the lateral chest wall. Notice the displacement of the. bat wing opacities, also known as butterfly opacities, refer to a pattern of bilateral perihilar lung. Butterfly Chest X Ray.
From www.shutterstock.com
Xray Male Skeleton Displaying Group Butterflies Stock Illustration Butterfly Chest X Ray Notice the displacement of the. bat wing opacities, also known as butterfly opacities, refer to a pattern of bilateral perihilar lung shadowing. the “reversed pulmonary edema pattern” represents virtually a photographic negative of the “bat’s wing” or “butterfly” pattern and is characterized by homogeneous consolidations in the lung periphery running more or less parallel to the lateral chest. Butterfly Chest X Ray.
From galatatattoo.com
Butterfly Chest Tattoos Unleashed 40+ Mesmerizing Designs, Styles, and Butterfly Chest X Ray the “reversed pulmonary edema pattern” represents virtually a photographic negative of the “bat’s wing” or “butterfly” pattern and is characterized by homogeneous consolidations in the lung periphery running more or less parallel to the lateral chest wall. Notice the displacement of the. bat wing opacities, also known as butterfly opacities, refer to a pattern of bilateral perihilar lung. Butterfly Chest X Ray.
From in.eteachers.edu.vn
Update 75+ butterfly chest tattoo female best in.eteachers Butterfly Chest X Ray Notice the displacement of the. bat wing opacities, also known as butterfly opacities, refer to a pattern of bilateral perihilar lung shadowing. the “reversed pulmonary edema pattern” represents virtually a photographic negative of the “bat’s wing” or “butterfly” pattern and is characterized by homogeneous consolidations in the lung periphery running more or less parallel to the lateral chest. Butterfly Chest X Ray.
From alexie.co
200 Monarch Butterfly Tattoo Ideas for 2024 Butterfly Chest X Ray the “reversed pulmonary edema pattern” represents virtually a photographic negative of the “bat’s wing” or “butterfly” pattern and is characterized by homogeneous consolidations in the lung periphery running more or less parallel to the lateral chest wall. bat wing opacities, also known as butterfly opacities, refer to a pattern of bilateral perihilar lung shadowing. Notice the displacement of. Butterfly Chest X Ray.
From www.slideshare.net
Chest x ray pathology Butterfly Chest X Ray bat wing opacities, also known as butterfly opacities, refer to a pattern of bilateral perihilar lung shadowing. the “reversed pulmonary edema pattern” represents virtually a photographic negative of the “bat’s wing” or “butterfly” pattern and is characterized by homogeneous consolidations in the lung periphery running more or less parallel to the lateral chest wall. Notice the displacement of. Butterfly Chest X Ray.
From www.pinterest.com
Butterflies in the stomach Farfalle, Teschi, Bellissimi sfondi Butterfly Chest X Ray Notice the displacement of the. bat wing opacities, also known as butterfly opacities, refer to a pattern of bilateral perihilar lung shadowing. the “reversed pulmonary edema pattern” represents virtually a photographic negative of the “bat’s wing” or “butterfly” pattern and is characterized by homogeneous consolidations in the lung periphery running more or less parallel to the lateral chest. Butterfly Chest X Ray.
From www.animalia-life.club
Pulmonary Edema X Ray Butterfly Pattern Butterfly Chest X Ray Notice the displacement of the. bat wing opacities, also known as butterfly opacities, refer to a pattern of bilateral perihilar lung shadowing. the “reversed pulmonary edema pattern” represents virtually a photographic negative of the “bat’s wing” or “butterfly” pattern and is characterized by homogeneous consolidations in the lung periphery running more or less parallel to the lateral chest. Butterfly Chest X Ray.
From www.pinterest.com
big monarch butterfly chest tattoo by marcella rangel at madametattoos Butterfly Chest X Ray bat wing opacities, also known as butterfly opacities, refer to a pattern of bilateral perihilar lung shadowing. the “reversed pulmonary edema pattern” represents virtually a photographic negative of the “bat’s wing” or “butterfly” pattern and is characterized by homogeneous consolidations in the lung periphery running more or less parallel to the lateral chest wall. Notice the displacement of. Butterfly Chest X Ray.
From mysteriousevent.com
"Ink Elegance Unleashed 20 Stunning Chest tattoo Ideas Redefining Butterfly Chest X Ray Notice the displacement of the. bat wing opacities, also known as butterfly opacities, refer to a pattern of bilateral perihilar lung shadowing. the “reversed pulmonary edema pattern” represents virtually a photographic negative of the “bat’s wing” or “butterfly” pattern and is characterized by homogeneous consolidations in the lung periphery running more or less parallel to the lateral chest. Butterfly Chest X Ray.
From www.stylecraze.com
6 Amazing Benefits Of Butterfly Chest Workout Upper Body Workout Butterfly Chest X Ray Notice the displacement of the. the “reversed pulmonary edema pattern” represents virtually a photographic negative of the “bat’s wing” or “butterfly” pattern and is characterized by homogeneous consolidations in the lung periphery running more or less parallel to the lateral chest wall. bat wing opacities, also known as butterfly opacities, refer to a pattern of bilateral perihilar lung. Butterfly Chest X Ray.
From www.animalia-life.club
Pulmonary Edema X Ray Butterfly Pattern Butterfly Chest X Ray the “reversed pulmonary edema pattern” represents virtually a photographic negative of the “bat’s wing” or “butterfly” pattern and is characterized by homogeneous consolidations in the lung periphery running more or less parallel to the lateral chest wall. bat wing opacities, also known as butterfly opacities, refer to a pattern of bilateral perihilar lung shadowing. Notice the displacement of. Butterfly Chest X Ray.
From www.researchgate.net
Chest Xray at admission shows " butterfly " pattern, characterized by Butterfly Chest X Ray Notice the displacement of the. bat wing opacities, also known as butterfly opacities, refer to a pattern of bilateral perihilar lung shadowing. the “reversed pulmonary edema pattern” represents virtually a photographic negative of the “bat’s wing” or “butterfly” pattern and is characterized by homogeneous consolidations in the lung periphery running more or less parallel to the lateral chest. Butterfly Chest X Ray.
From www.skimble.com
Chest Butterfly by Aman Bhardwaj Exercise Howto Skimble Butterfly Chest X Ray bat wing opacities, also known as butterfly opacities, refer to a pattern of bilateral perihilar lung shadowing. Notice the displacement of the. the “reversed pulmonary edema pattern” represents virtually a photographic negative of the “bat’s wing” or “butterfly” pattern and is characterized by homogeneous consolidations in the lung periphery running more or less parallel to the lateral chest. Butterfly Chest X Ray.
From www.cureus.com
Cureus An Incidental Finding of Butterfly Vertebrae in a Case of Butterfly Chest X Ray Notice the displacement of the. bat wing opacities, also known as butterfly opacities, refer to a pattern of bilateral perihilar lung shadowing. the “reversed pulmonary edema pattern” represents virtually a photographic negative of the “bat’s wing” or “butterfly” pattern and is characterized by homogeneous consolidations in the lung periphery running more or less parallel to the lateral chest. Butterfly Chest X Ray.
From www.pinterest.com
HERZallerliebste...von anderer ART Art wallpaper iphone, Art Butterfly Chest X Ray bat wing opacities, also known as butterfly opacities, refer to a pattern of bilateral perihilar lung shadowing. Notice the displacement of the. the “reversed pulmonary edema pattern” represents virtually a photographic negative of the “bat’s wing” or “butterfly” pattern and is characterized by homogeneous consolidations in the lung periphery running more or less parallel to the lateral chest. Butterfly Chest X Ray.
From www.pinterest.com
Bat's wing or butterfly pulmonary opacities refer to a pattern of Butterfly Chest X Ray Notice the displacement of the. the “reversed pulmonary edema pattern” represents virtually a photographic negative of the “bat’s wing” or “butterfly” pattern and is characterized by homogeneous consolidations in the lung periphery running more or less parallel to the lateral chest wall. bat wing opacities, also known as butterfly opacities, refer to a pattern of bilateral perihilar lung. Butterfly Chest X Ray.